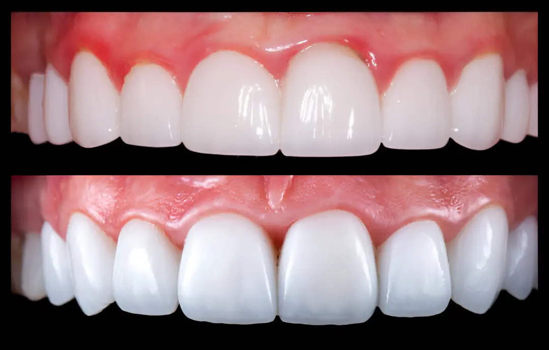
La sonrisa es una de las cartas de presentación más importantes, y no solo los dientes influyen en ella. La forma, tamaño y proporción de las encías también juegan un papel fundamental en la estética dental. El recontorneo estético de encías es un procedimiento mínimamente invasivo que permite corregir el exceso de encía o la asimetría gingival, logrando una sonrisa más armónica sin necesidad de cirugía mayor.
¿Qué es el recontorneo estético de encías?
El recontorneo estético de encías es una técnica odontológica enfocada en modificar de manera precisa la línea gingival que rodea a los dientes. A través de herramientas especializadas, como láser o microinstrumentos, el odontólogo perfila las encías para dar mayor proporción y simetría a la sonrisa.
Este procedimiento es ideal para personas que presentan:
- Sonrisa gingival (muestran demasiada encía al sonreír).
- Encías desiguales (dientes que parecen de diferente tamaño por exceso de encía).
- Desequilibrio entre dientes y encías tras tratamientos estéticos como carillas o blanqueamientos.

Ventajas de este tratamiento estético
El recontorneo de encías ofrece beneficios estéticos y funcionales:
- Sonrisa más armónica: corrige proporciones entre encía y dientes.
- Procedimiento rápido y seguro: generalmente se realiza en una sola sesión.
- Recuperación mínima: al ser mínimamente invasivo, la inflamación y molestias son leves.
- Resultados inmediatos: los cambios en la estética son visibles al instante.
- Complemento estético ideal: potencia el efecto de otros tratamientos como carillas dentales, coronas o blanqueamientos.
¿Cómo se realiza el recontorneo estético de encías?
El proceso varía según la técnica utilizada, pero suele seguir estos pasos:
- Evaluación clínica: se revisa la proporción de dientes y encías para determinar el plan estético.
- Anestesia local: se aplica una dosis mínima para garantizar comodidad.
- Perfilado gingival: con láser dental o instrumentos quirúrgicos de precisión, se elimina el exceso de tejido gingival.
- Moldeado final: el odontólogo ajusta la simetría para lograr la armonía deseada.
- Recomendaciones postratamiento: incluyen higiene oral adecuada y evitar alimentos muy duros o picantes durante los primeros días.

Casos en los que se recomienda
El recontorneo estético de encías está indicado principalmente en:
- Personas con sonrisa gingival leve o moderada.
- Pacientes con encías inflamadas que alteran la simetría de la sonrisa.
- Personas que han completado un tratamiento de ortodoncia y buscan mayor equilibrio estético.
- Aquellos que desean complementar tratamientos como carillas dentales para un resultado más natural.

Recontorneo con láser: tecnología avanzada en odontología estética
El láser dental es una de las herramientas más modernas para este procedimiento. Gracias a su precisión, permite eliminar tejido gingival con mínimo sangrado y menor tiempo de recuperación. Además, reduce el riesgo de infecciones y proporciona un acabado más limpio y estético.
Según la American Academy of Periodontology, los procedimientos mínimamente invasivos como el recontorneo gingival con láser son cada vez más populares, ya que combinan eficacia, estética y seguridad.
¿Es doloroso el recontorneo estético de encías?
Uno de los mitos más comunes es pensar que este procedimiento es doloroso. En realidad, gracias a la anestesia local y a técnicas modernas como el láser, el paciente apenas siente molestias durante el tratamiento. La recuperación suele ser rápida, con mínimas incomodidades que desaparecen en pocos días.
Odontología Life: expertos en estética dental
Si buscas un cambio estético que potencie tu sonrisa, en Odontología Life contamos con especialistas en tratamientos avanzados como el recontorneo estético de encías, carillas y blanqueamientos. Nuestro enfoque combina experiencia, tecnología y atención personalizada para lograr sonrisas más armónicas y saludables.
El recontorneo estético de encías es una solución eficaz, rápida y mínimamente invasiva para quienes buscan una sonrisa equilibrada. Al mejorar la proporción entre dientes y encías, permite realzar la estética sin recurrir a cirugías mayores. Si quieres transformar tu sonrisa con resultados naturales y seguros, este procedimiento puede ser la opción ideal.


